Estética Dental
La estética dental es una especialidad de odontología que soluciona problemas de salud bucal y que busca la armonía estética de la boca. La belleza radica en la armonía. Lo mismo en la boca. En la clínica dental de Alicia Amador te hacemos un estudio previo de cómo, dónde y qué tipo de tratamiento estético necesita.

Carillas de resina
Una carilla de resina o composite es una lámina fina de este material que cubre la superficie del diente, en su parte frontal, que se adhiere con ciertos adhesivos o cementos de resina. Se cambia la forma del diente, el tamaño y el color de este.
Ventajas carillas de composite :
- Se realiza en una única sesión.
- No hay ningún desgaste del diente.
- Es mas económico que el tratamiento de carillas cerámicas.
- Finalizado el tratamiento es posible modificar los resultados.
Carillas de porcelana
Las carillas son finas piezas de porcelana que se utilizan para recrear el aspecto natural de los dientes.
Es el tratamiento de elección para aquellos que buscan hacer ligeras alteraciones de posición, para cambiar la forma del diente, el tamaño o el color.
Las carillas de porcelana consisten en la fusión de finísimas laminas cerámicas dando la forma y textura del esmalte.
Ventajas carillas porcelana :
- No se tiñen con café, vino, tabaco, zumos, té, etc.
- Mantiene el color y el brillo de forma permanente.
- Son de dureza superior al propio esmalte dental.
- No necesitan un mantenimiento especifico, tan solo el mismo que un diente normal.
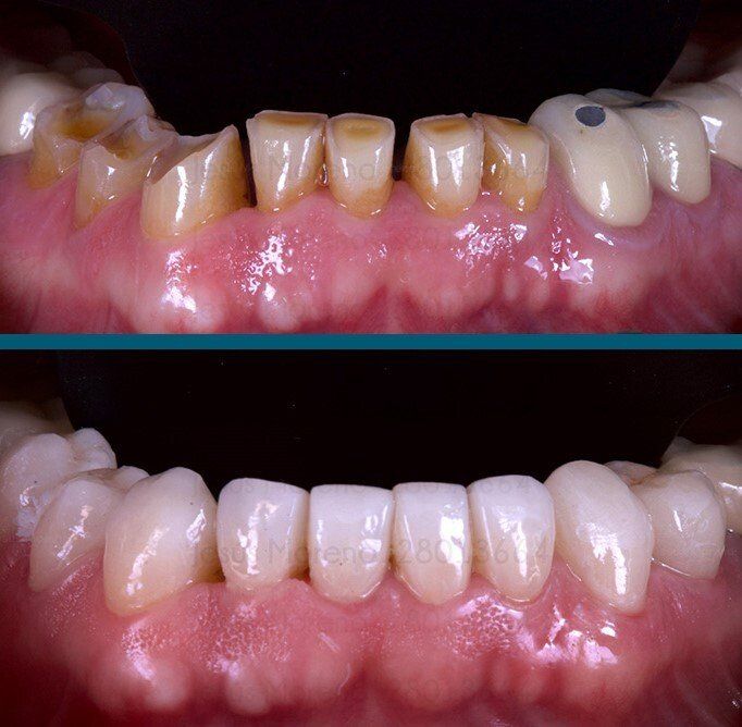
Estudio oclusal, encerado diagnostico y rehabilitacion
Aquí les mostramos de manera resumida los pasos en una rehabilitación casi total con subida de la dimensión vertical.





